天然草药补骨脂会“伤肝”?Food Chem Toxicol:双氢异黄酮作祟,下调关键蛋白,阻断甘氨胆酸合成致胆汁淤积

2025-05-09 10:21:39


本研究利用人肝脏类器官模型,发现补骨脂中双氢异黄酮肝毒性最强,其通过下调胆汁酸CoA:氨基酸N-酰基转移酶表达,破坏甘氨胆酸合成,进而引发胆汁淤积。

在日常生活中,我们常听闻一些天然草药对健康有益,补骨脂(Psoraleae Fructus,Bu Gu Zhi,BGZ)就是其中之一。它在中国被广泛用于治疗皮肤病和骨病,很多骨质疏松患者都曾使用过。然而,近年来补骨脂引发的肝损伤问题逐渐受到关注,成为了医药领域研究的热点。

近期,发表于Food Chem Toxicol的一项研究Bavachinin causes cholestasis by down-regulating BAAT expression and disrupting glycocholic acid synthesis in human liver organoids,为我们揭示了补骨脂导致肝损伤的潜在机制。

药物性肝损伤(DILI)作为一种常见且临床意义重大的药物不良反应,不仅来自传统药物,草药和膳食补充剂(HDS)也是重要诱因。在亚洲国家,HDS诱导的肝损伤(HILI)尤为突出,是DILI的主要病因之一,且在西方国家也呈上升趋势。补骨脂引起的肝损伤,特别是胆汁淤积,已被诸多案例报道,但以往的研究多基于动物模型或二维细胞培养系统,难以完全反映人体的真实生理情况。

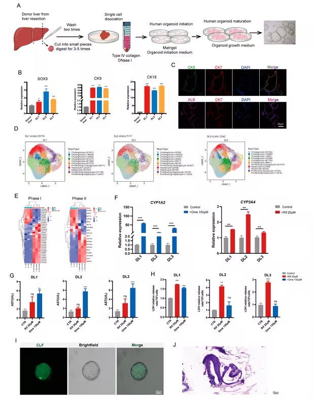
为了深入探究补骨脂致肝损伤的机制,研究团队利用健康供体的肝脏组织,制备了人肝脏类器官(HLOs)。这一三维结构能更好地模拟体内器官的功能和结构,为研究提供了更贴近人体生理环境的模型。

图 1:健康供体肝脏来源的肝脏类器官的生成与表征

研究结果令人瞩目。首先,通过对HLOs的检测,发现其具备肝细胞和胆管细胞的功能,能表达参与药物代谢的I相和II相酶。当接触肝毒性药物时,HLOs的天冬氨酸转氨酶(AST)水平和乳酸脱氢酶(LDH)相对释放率会升高,细胞活力下降,且对药物的剂量反应范围更广。同时,HLOs还能成功运输胆汁酸类似物,具备胆汁运输功能,不过其中肝细胞的比例低于胆管细胞。

在筛选补骨脂的肝毒性成分时,研究人员发现双氢异黄酮(BVC)的肝毒性最为严重。与其他成分相比,BVC处理后的HLOs形态变化显著,细胞活力随药物浓度和时间下降明显,其半最大抑制浓度(IC50)远低于其他成分。

图 2:筛选补骨脂的肝毒性成分

进一步探究BVC导致肝损伤的机制时,研究团队发现,BVC处理后的HLOs中,参与胆汁分泌途径的基因表达发生改变。RNA测序和qPCR验证结果显示,一些基因如ABCB1、BACS等表达上调,而胆汁酸CoA:氨基酸N-酰基转移酶(BAAT)等基因表达下调。BAAT在胆汁酸代谢中起着关键作用,它能催化胆汁酸与牛磺酸和甘氨酸的酰胺化反应,促进胆汁酸的溶解和分泌。BVC会使BAAT在基因和蛋白质水平的表达均下调。

图 3:双氢异黄酮(BVC)诱导肝损伤的转录组分析

值得注意的是,研究人员发现上调BAAT的表达可以缓解胆汁淤积。使用harmaline(HAL)预处理HLOs,能显著提高BAAT的基因和蛋白质表达水平,同时增加细胞活力,减轻BVC引起的胆汁淤积。

图 4:上调BAAT减轻胆汁淤积

此外,研究还发现BVC处理后的HLOs中,甘氨胆酸(GCA)水平显著下降。GCA作为结合胆汁酸的主要成分,由BAAT催化合成,对促进胆汁分泌至关重要。补充GCA能明显改善BVC处理后HLOs的细胞活力,这表明GCA水平下降可能是BVC诱导胆汁淤积的重要机制之一。

综上所述,这项研究通过人肝脏类器官模型,明确了双氢异黄酮是补骨脂中最具肝毒性的成分。它通过下调BAAT的表达,破坏甘氨胆酸的合成,进而导致胆汁淤积和肝损伤。这一研究成果为我们理解补骨脂致肝损伤的机制提供了重要依据,也为后续预防和治疗相关肝损伤提供了新的思路和方向。未来,期待能有更多研究基于此展开,进一步探索补骨脂肝损伤的防治策略,保障大家的用药安全。(生物谷Bioon.com)

参考文献:

Wang X, Su Y, Chen X, Liu L, Zhao X, Jia J. Bavachinin causes cholestasis by down-regulating BAAT expression and disrupting glycocholic acid synthesis in human liver organoids. Food Chem Toxicol. Published online April 9, 2025. doi:10.1016/j.fct.2025.115438